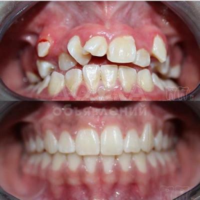
СКИДКА НА БРЕКЕТЫ -45% 0505 07 16 15, 0555 07 16 15
1 сом
Продаю
Что делает ортодонт, как и чем он лечит?
После диагностирования общего состояния полости рта ребенка ортодонт составляет индивидуальный план, направленный на устранение имеющихся проблем. Ортодонтия для детей предлагает несколько способов коррекции неправильного прикуса.
Миотерапия является самым действенным вариантом выравнивания зубов в раннем возрасте. Формирование так называемого временного прикуса у малышей наблюдается в период от 3 до 5 лет. Детская процедура коррекции дефектов полости рта включает в себя комплекс упражнений для губ и языка, которые способствуют правильному и гармоничному развитию важных мышц. В эту категорию входят рецепторы, отвечающие за мимику и жевательные процессы. Эффективность данного метода заключается в ежедневных тренировках под присмотром взрослых. От детского врача-ортодонта также может поступить предложение использовать дополнительные аппараты: капы, пластинки или трейнеры. Современная стоматология создаст все условия для комфортного курса исправления прикуса.
Ортодонтические пластинки активно используются стоматологами для исправления прикуса в возрасте от 6 лет. Данные системы представляют собой металлическую конструкцию с дугой, крючками и пружинами. Такие съемные аппараты изготавливаются для каждого ребенка индивидуально после предварительного снятия слепков. Данные конструкции носят ежедневно, снимая их только в некоторых случаях, например, в период приема пищи или чистки зубов. Детская пластинка быстро вернет зубному ряду правильную форму. Некоторые ребята стесняются носить железные аппараты. В этом случае ортодонт предлагает уникальные модели, которые имеют привлекательный дизайн. Разноцветные пластины с изображением зверей или любимых героев обязательно привлекут внимание детей и помогут преодолеть стеснение.
Каждый ортодонт скажет, что капы можно носить в любом возрасте. Обладая отменными эстетическими качествами, они идеально подходят для выравнивания зубов у детей и взрослых. Прозрачные накладки изготавливаются из гипоаллергенных стоматологических материалов, обеспечивая безопасность и удобство. Капы носят в течение всего дня, снимая только перед чисткой зубов и приемами пищи.
СКИДКА НА БРЕКЕТЫ -45% 0505 07 16 15 0555 07 16 15
После диагностирования общего состояния полости рта ребенка ортодонт составляет индивидуальный план, направленный на устранение имеющихся проблем. Ортодонтия для детей предлагает несколько способов коррекции неправильного прикуса.
Миотерапия является самым действенным вариантом выравнивания зубов в раннем возрасте. Формирование так называемого временного прикуса у малышей наблюдается в период от 3 до 5 лет. Детская процедура коррекции дефектов полости рта включает в себя комплекс упражнений для губ и языка, которые способствуют правильному и гармоничному развитию важных мышц. В эту категорию входят рецепторы, отвечающие за мимику и жевательные процессы. Эффективность данного метода заключается в ежедневных тренировках под присмотром взрослых. От детского врача-ортодонта также может поступить предложение использовать дополнительные аппараты: капы, пластинки или трейнеры. Современная стоматология создаст все условия для комфортного курса исправления прикуса.
Ортодонтические пластинки активно используются стоматологами для исправления прикуса в возрасте от 6 лет. Данные системы представляют собой металлическую конструкцию с дугой, крючками и пружинами. Такие съемные аппараты изготавливаются для каждого ребенка индивидуально после предварительного снятия слепков. Данные конструкции носят ежедневно, снимая их только в некоторых случаях, например, в период приема пищи или чистки зубов. Детская пластинка быстро вернет зубному ряду правильную форму. Некоторые ребята стесняются носить железные аппараты. В этом случае ортодонт предлагает уникальные модели, которые имеют привлекательный дизайн. Разноцветные пластины с изображением зверей или любимых героев обязательно привлекут внимание детей и помогут преодолеть стеснение.
Каждый ортодонт скажет, что капы можно носить в любом возрасте. Обладая отменными эстетическими качествами, они идеально подходят для выравнивания зубов у детей и взрослых. Прозрачные накладки изготавливаются из гипоаллергенных стоматологических материалов, обеспечивая безопасность и удобство. Капы носят в течение всего дня, снимая только перед чисткой зубов и приемами пищи.
СКИДКА НА БРЕКЕТЫ -45% 0505 07 16 15 0555 07 16 15
nogoibaeva.k